Right Ureteral Obstruction and Autonomic Dysreflexia Following Suprapubic Catheter Migration : A Rare Case Report

BRASCHI E1, PENAFIEL J2

Research Type

Clinical

Abstract Category

Neurourology

Abstract 823
Non Discussion ePosters - Case Reports
Scientific Non Discussion Poster Session 300
Spinal Cord Injury Surgery Bladder Outlet Obstruction
1. Instituto de Rehabilitación Psicofísica del Sur, 2. Avranches Granville Hospital
Links

Poster

Abstract

Hypothesis / aims of study
Indwelling suprapubic catheter (SPC) placement is a common urinary diversion technique in neurourological patients. The most frequent complications include urinary tract infections and hematuria. We present the case of a male patient with a rare complication of autonomic dysreflexia (AD) following migration of an SPC during an open procedure, resulting in right ureteral obstruction.
Study design, materials and methods
A 23-year-old male with a history of traumatic spinal cord injury (T3 ASIA A), iatrogenic urethral stenosis limiting clean intermittent catheterization (CIC), and low bladder capacity, was admitted for a planned open cystostomy and bladder stone extraction. Following stone removal, a 24-French SPC was placed. On postoperative day 3, the patient developed AD, characterized by hypertensive urgency and profuse sweating. Renal ultrasound revealed right-sided hydronephrosis. A CT scan confirmed SPC misplacement, with the catheter tip located inside the right distal ureter.
Results
The SPC was repositioned and fixed, resulting in resolution of the patient’s symptoms. The postoperative course was uneventful after correction of the catheter position.
Interpretation of results
Although rare, SPC migration can lead to serious complications. To our knowledge, approximately 10 cases have been reported in the literature, all following placement of an already indwelling SPC. Reported complications include flank pain, hematuria, complicated urinary tract infection, acute renal failure, ureteral injury with contrast extravasation, and oliguria or anuria. This is, to our knowledge, the first reported case of AD as a complication from a 24-french SPC migration following an open surgical approach.
Concluding message
Indwelling suprapubic catheterization is a widely used and generally safe urinary diversion method for neurourological patients who are unfit or unwilling to perform CIC or other voiding strategies. The open suprapubic cystostomy approach remains the gold standard for SPC placement in population with a low bladder capacity. In contexts with limited healthcare resources and low patient health literacy, common in emerging and developing countries, SPC is a valid therapeutic option. However, awareness of rare but potentially life-threatening complications such as AD due to SPC migration into the ureter could be valuable for timely recognition and management.
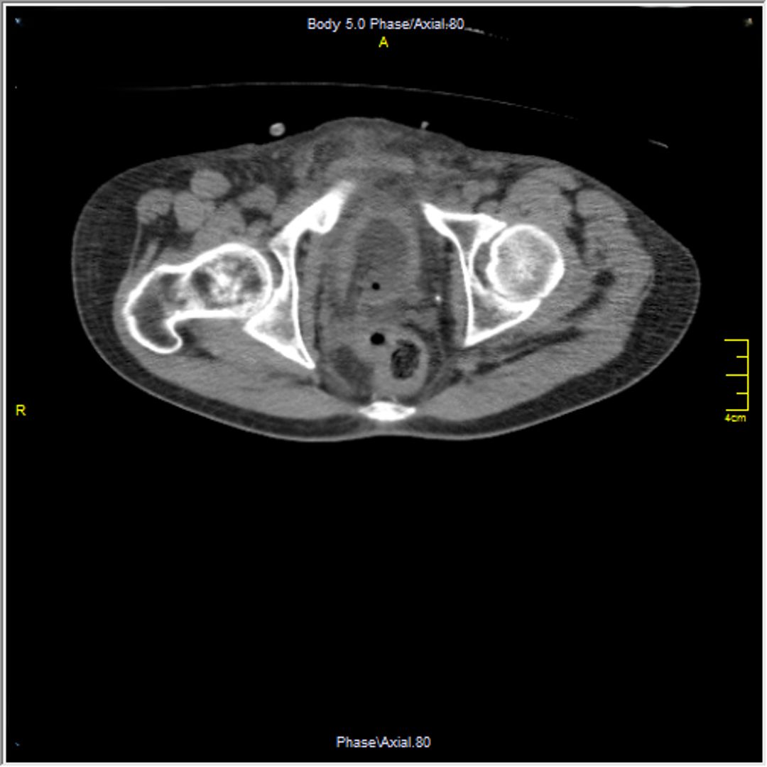
Figure 1 Axial view of the SPC's tip in the distal right ureter
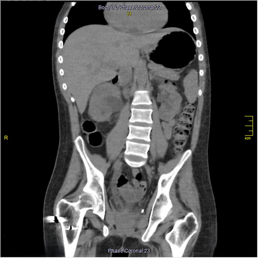
Figure 2 Coronal view of the SPC's tip in the distal right ureter provoking hydronephrosis
Figure 3 Axial view of the SPC's tip in the distal right ureter
Disclosures
Funding none Clinical Trial No Subjects Human Ethics not Req'd Case report with patient's authorization Helsinki Yes Informed Consent Yes
27/04/2026 10:53:42